OrthoNeuroGnathodontics on 2° Class patient

Go to top

 

Masticationpedia
Article by  Flavio Frisardi · Gianni Frisardi

 

Presentation

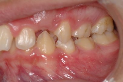
12-year-old patient who shows to the cephalometric examination, a underdevelopment of the jaw, which is small and not very projected, and imprisoned in the maxilla. The hypodivergent growth also determines a severe deep bite that does not allow the eruption of the upper canines in the presence of 2nd molar class. The trigeminal electrophysiological tests (not reported here) ensured that the patient, in the conditions in which he presented himself for the OrthoNeuroGnathodontic treatment, was in a State of System's integrity, such that the occlusal imperfection could be corrected through classic orthodontic masticatory rehabilitation. If the electrophysiological responses had shown neuromotor discrepancies, a State of system's destructurated would have been added to the occlusal imperfection to be treated with functional neuro-gnathological therapies to restore the state of System integrity (Figures 1, 2 and 3). The cephalometric analysis showed a skeletal Class 2 morphology, hypodivergent, biretrusive profile with SNA 80 °, SNB 75 ° and ANB 5 °.




Treatment

The 1st phase of the treatment consisted in restoring the maxillary spaces and volumes through molar distalization by means of NiTi Opencoil (nickel titanium open spring) between the first premolars and the molars which allows to obtain in addition to the recovery of the 1st molar class also the recovery on the sagittal plane of the space necessary for the canines. The use of class 2 elastics is essential to avoid the mesializing counter vector on the upper frontal group, as well as the lip bumper inserted in the tubes of the bands in the lower molars avoids the mesializing component on the lower arch through the lip thrust on the resin shield. (Figure 4)

Finalization

Finalization of the clinical case with stabilization of the increased Occlusal Vertical Dimension and of the Centric Occlusal

In this phase it is absolutely important to check the alignment torque and the occlusal asymmetries in order not to generate an incisal anterior wall and occlusal interference which, in increase of the Occlusal Vertical Dimension, could increase the spatial error in the intermaxillary relationship. As reported in the introduction of Masticationpedia, the evaluation of the Central Nervous and Peripheral Trigeminal System is a keystone to interpret the Masticatory System as a Complex System and guarantee or at least reduce the incidence of iatrogenic damage from treatment such as rrelapses. Figure 7 shows the success of Orthodontic Aesthetic Follow up 5 years: the occlusal aesthetic result is optimal and there are no relapses. This clinical result is not only due to a classic and careful orthodontic procedure, but also to the occlusal stability which does not generate interference or cleavage plans which can determine pairs of twisting forces on the teeth and even more seriously at the level of the Temporomandibular Joints.  In Figure 8 we can see, in fact, the perfect symmetry of the jaw jerk and the Mechanical Silent Period. These trigeminal electrophysiological steps will be extensively exposed and discussed during the implementation of Masticationpedia while in this context they should only be considered in a demonstrative way. Note, in addition to the aesthetic of the smile, the perfect symmetry of amplitude of the jaw jerk (Figures 8, 9 and 10)

}}