Difference between revisions of "4° Clinical case: Temporomandibular disorders"
| Line 1: | Line 1: | ||
{{Versions | {{Versions | ||
| en = 4° Clinical case: Temporomandibular disorders | | en = 4° Clinical case: Temporomandibular disorders | ||
| it = 4° Caso clinico: | | it = 4° Caso clinico: Disordini Temporomandibolari | ||
| fr = '4° Cas clinique : Affections temporo-mandibulaires' | | fr = '4° Cas clinique : Affections temporo-mandibulaires' | ||
| de = '4° Klinischer Fall: Kiefergelenkserkrankungen' | | de = '4° Klinischer Fall: Kiefergelenkserkrankungen' | ||
Revision as of 17:31, 30 July 2023
Nel capitolo 'Introduzione' abbiamo presentato un caso clinico dimostrativo che ha messo in dubbio il concetto di 'Malocclusione' nel senso che qualsiasi classe o morfologia occlusale dovrebbe sempre essere relazionata alle risposte neuromotorie trigeminali per confermare la presenza di un disturbo patologico masticatorio. In quel caso, il soggetto è risultato avere una perfetta simmetria in latenza, ampiezza ed aree integrali del Sistema Nervoso Centrale trigeminale (tCNS) per cui difficilmente classificabile come 'malocclusione'. Da tenere presente, però, che il soggetto in questione portatore di una evidente anomalia occlusale non aveva assolutamente nessun disturbo masticatorio ma cosa succede in un soggetto simile che riferisce dolori orofacciali e disturbi articolari. Vedremo in questo capitolo come va considerato un paziente di questo tipo e concluderemo con l'esposizione degli step impiegati per la riabilitazione protesica eseguita con un metodo elettrofisiologico trigeminale denominato 'Modello NGF' che si trasformerà, nel corso dell'edizione di Masticationpedia, in un modello diagnostico denominato 'Indice '
Introduzione
Un articoli di Ahmad e Schiffman[1] sono emersi elementi interessanti che esigono una più approfondita analisi del fenomeno TMD. Gli autori hanno riportato, infatti, che circa il 5-12% della popolazione degli Stati Uniti è affetto da TMD e il costo annuale della gestione della TMD, esclusi i costi relativi all'imaging, è di circa 4 miliardi di dollari. Interview Survey (NHIS) che includeva un totale di 189.977 persone, il 4,6% (n = 8964) aveva avuto disturbi dell'articolazione temporo-mandibolare e dei muscoli (TMJD).
Come abbiamo già più volte citato nel corso dei capitoli precedenti, uno degli elementi critici nella diagnostica differenziale tra Dolore orofacciale e TMD è il dato dell'incidenza della malattia che va ad inquinare obbligatoriamente il risultato del valore predittivo del teorema di Bayes. In questo caso, dalle considerazioni degli autori[1] siamo sul 4,6%.
Sappiamo bene, ormai, che lo 'TMD' è la seconda condizione muscoloscheletrica cronica più comune dopo la lombalgia cronica[2] e malgrado Ahmad e Schiffman[1] hanno riportato in modo esaustivo l'importanza dell'imaging per rendere corrette le diagnosi intra-articolari dell'ATM, sorge il dubbio della sovrapposizioni di stati sintomatico-clinici come è capitato di vedere per i casi clinici riportati nei capitoli precedenti di Masticationpedia.
Questa interferenza non dipende dalla capacità del medico ma dalla forma mentis deterministica che non lascia spazio al fenomeno di sovrapposizione di più patologie che simulano lo stessa sintomatologia del TMD. Una veloce carrellata di casi clinic riportati nei capitoli di Masticationpedia ci può far ricordare meglio la complessità e la veridicità di questa affermazione. (Figura 1)
Dice giusto Magda Krasińska-Mazur et al.[3] che la diagnosi corretta dei disturbi temporomandibolari si basa sull'anamnesi e su un esame fisico approfondito, nonché sui risultati di test aggiuntivi.....ma quali?
(....presenteremo in questo contesto un modello diagnostico contestualmente alla ripristino delle condizioni funzionali masticatorie del paziente in questione)
Fin qui abbiamo discusso su molti aspetti che in qualche modo ritardano la diagnosi differenziale in paziente che riferiscono una sintomatologia sovrapponibile a varie manifestazioni cliniche, diagnosi differenziale che se, invece, eseguita in tempi giusti e rapidi potrebbe salvare la vita al soggetto come è successo al nostro 'Bruxer' e purtroppo no al nostro 'Balancer'. La forma mentis del medico in questi casi è fondamentale e l'elemento determinante rimane quello di uscire dal 'contesto specialistico' per assumere contestualmente una visione indeterministica e probabilistica della medicina. Ciò non è diverso per quanto riguarda i pazienti affetti effettivamente da DTMs perchè non esistendo una vera e propria disciplina neuro gnatologica, la diagnosi nonché la terapia di questi soggetti rimane quella standard e cioè gnatologica. La disciplina gnatologica, seppur molto valida, anch'essa è limitata perchè restringe il campo dello 'Osservabile' al parametro occlusale disinteressandosi di tutto il resto che entra a far parte del network neuromotorio masticatorio e non solo. [4]Presenteremo questo caso clinico di un paziente con DTMs per dare un significativo cambiamento clinico diagnostico/terapeutico nel campo della 'Neuro Gnatologia Funzionale' chiamandolo, appunto, metodo NGF.
Anamnesi
Chiamiamo come di consueto il nostro paziente con un nome di fantasia e precisamente 'Clicker' perchè la paziente soffriva da anni di click dell'articolazione temporomandibolare (TMJ). Clicker si presentò nel nostro dipartimento di neuropatologia accusando forti dolori orofacciali e riferendo un cronico rimuove articolare a livello della TMJ di destra. Arrivò dopo essere già stata diagnosticata come DTMs seguendo sempre il protocollo RDC e trattata con biteplane per gestire il digrignamento solo notturno. Paziente di circa 40 anni che riferiva dolore orofacciale con rumori articolari quali click e scrosci da ambedue i lati della faccia e difficoltà nella masticazione.
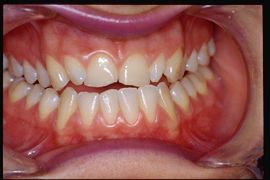
Ad un primo esame clinico occlusale si evince una III classe occlusale funzionale con scivolamento in protrusa nel raggiungimento della massima intercuspidazione. Alla palpazione risultavano dolenti i masseteri, temporali e pterigoidei esterni di ambo i lati. No disturbi di equilibrio e deambulazione, no vertigini no acufeni ma come nostra routine eseguimmo immediatamente gli esami elettrofisiologici trigeminali nell'intento di scongiurare qualsiasi coinvolgimento strutturale del Sistema Nevoso Centrale trigeminale (tNCS). Come già esposto nel capitolo riguardante il paziente 'Balancer' con Meningioma in cui l'esame dello EMG interferenziale eseguito dai colleghi odontoiatrici non dava indicazioni di patologia organica del tNCS nel nostro Centro Diagnostico eseguiamo esclusivamente Potenziali Evocati e la batteria dei riflessi trigmeinali. In questo capitolo, tenendo conto della situazione clinica abbiamo bypassato il contesto puramente odontoiatrico essendo eclatante ma non certo, dopo un primo esame obiettivo, il disturbo malocclusivo (figura 2)
Elettrofisiologia trigeminale
Come si è ormai documentato nei capitoli precedenti di Masticationpedia, il cuore della filosofia scientifica di Masticationpedia, è sostanzialmente il normalizzare le funzioni masticatorie al Sistema Nervoso Centrale e periferico trigeminale tCNS e non all'occlusione dentaria. Ciò è in grado di accoppiare la anormalità occlusale alle condizioni di 'stato' del tCNS come ben documentato nel primo capitolo 'Introduzione' dove abbiamo mostrato una perfetta simmetria elettrofisiologica trigeminale nel soggetto con grave malocclusione dentale ed una condizione neuromotoria francamente asimmetrica in un soggetto con perfetta occlusione dopo essere stato trattato con chirurgia ortognatica. I test elettrofisiologici nei soggetti con DTMs sono limitati ai Potenziali Evocati Motori bilaterali delle radici trigeminali da noi messi appunto nel corso di anni denominati bRoot-MEPs,[5] dal jaw jerk[6] eseguito mantenendo la mandibola in posizione di riposo ( Jaw jerk in rest position) ed il jaw jerk mantenendo la mandibola in chiusura con moderata attività muscolare ( jaw jerk in occlusal position).
bRoot-MEPs
In figura 3 possiamo assistere alle risposte dei potenziali evocati motori delle due radici trigeminali, il jaw jerk in posizione di riposo ed in posizione di massima intercuspidazione. In particolare alla Stimolazione Transcraniale Elettrica delle radici trigeminale il sistema Nervoso risponde conn due potenziali evocati perfettamente simmetrici sia in latenza che in ampiezza e nello specifico le latenze si posizionano ad un onset di ms e ms mentre le ampiezze picco-picco mV e mV. Questo risultato è fondamentale per la diagnosi differenziale tra patologie organiche e funzionale, infatti, sta a dimostrare che il sistema organicamente è simmetrico e sincrono e ciò determina il termine che vedremo ripresentarsi in modo determinante nel proseguitò dei capitoli di Masticationpedia denominato 'Organic Symmetry'. Si tenga presente fin da ora che il parametro 'Organic Symmetry' sarà considerato elemento di 'Normalizzazione' delle risposte riflesse trigeminali in quanto la propria simmetria di latenza ed ampiezza indica un perfetto 'stato' di integrità del tCNS e che contestualmente dovrebbe aspettarsi un altrettanto 'stato' di simmetria funzionale dovuto alle risposte riflesse trigeminali. Vediamo, dunque, lo 'stato' funzionale trigeminale del tCNS analizzando il jaw jerk.
Jaw jerk in posizione di riposo
É stato eseguito il test del riflesso da stiramento denominato jaw jerk mantenendo la mandibola in posizione di riposo per distinguere la componente in entrata al tCNS escludendo l'input dei recettori periodonatali. I risultai sono stati non incoraggiantei per la relativa asimmetria di latenza ( ms ms) e di ampiezza picco-picco (mV; mV ). In particolare il ritardo in latenza potrebbe spiegarsi con una facilitazione sui motoneuroni gamma andando in contrasto con lo studio di Kitagawa et al.[7] in cui si asserisce che la facilitazione sul lato omolaterale potrebbe essere prodotta da un potenziamento del gamma drive indotto da una stimolazione nocicettiva prolungata. Nel nostro caso il dato più significativo è la differenza di con riduzione sul lato algido destro. Abbiamo notato nei nostri studi che in posizione di riposo il jaw jerk mostra anche una dipendenza non solo alla accelerazione del colpo del trigger ma anche alla posizione spaziale della mandibola non essendo condizionata dalla posizione occlusale.[6]
Jaw jerk in posizione di riposo
Il jaw jerk, mantenendo la mandibola in posizione di occlusione centrica, eseguito per verificare il contributo dei recettori periodontali insieme ai propriocettori muscolari, tendine, è risultato, ovviamente, facilitato dal contatto dentario ma è aumentata la asimmetria in ampiezza (mV; mV). Questo risultato concorda con quanto affermato in uno studio di Yoshino T et al.[8] in cui la posizione mandibolare era stata deviata di 0,5, 1,0, 1,5, 2,0 e 3,0 mm a destra ed a sinistra da una posizione di riferimento corrispondente alla posizione di riposo. L'ampiezza del jaw jerk sul lato mediotrusivo sono aumentate principalmente in proporzione alla deviazione mandibolare. Lo studio conclude suggerendo che suggerito che iil jaw jerk può aiutare l'esame clinico di piccole deviazioni mandibolari. La conclusione di questo 1° step eletttrofisiologico trigeminale è stata di appurare l'integrità organica del tCNS attraverso la simmetria e sincronici del bRoot-MEPs,[5] e considerarlo come 'Organic Symmetry' [9]cioè normalizzatore del processo neurofisiologico masticatorio mentre le asimmetrie del jaw jerk depongono per un disturbo funzionale dovuto ad un sbilanciato input periferico oppure un processo inibitorio sui motoneuroni trigeminali di tipo nocicettivo. In sostanza sembrerebbe maggiormente indicativa la conclusione di disturbo spaziale mandibolare che appureremo in secondo momento quando si eseguita la Relazione Centrica Neuro Evocata per verificare la posizione spaziale fisiologica.
Periodo Silente dei muscoli masticator
Nella figura 4 vengono mostrate le risposte neuromuscolari del periodo silente da percussione del mento attraverso un martello neurologico triggerato quando alla paziente veniva chiesto di stringere con forza massimale i denti. Se da un punto di vista neurologico non si possono evidenziare elementi riferibili ad alterazioni organiche del tCNS, alcune caratteristiche elettrofisiologiche, tuttavia, sono da riferire ad un disturbo funzionale del sistema. Nella traccia superiore si può notare un decremento della fase di riattivazione motoneuronale immediatamente successivo al periodo silente. Il possibile meccanismo neurofisiologico capace di determinare un simile decremento delle attività facilitatorie sul periodo silente mandibolare può essere ascritto ad un cambiamento del drive fusomotorio indotto dall’input dei propriocettori e nocicettori muscolari. Il network neuronale di questo processo avverrebbe attraverso un loop formato da: afferenze nocicettive muscolari, il subnucleus caudalis del V, interneuroni inibitori sui motoneuroni statici e, come ultimo anello, la modulazione della sensibilità dei fusi neuromuscolari.[10] [11][12][13][14][15] Anche in questo contesto molto probabilmente la componente inibitoria prevale su quella eccitatori e ciò potrebbe essere ascritto ad una malocclusione come vedremo successivamente. In particolare si può notare la sovrapposizione del comportamento del jaw jerk, testato in precedenza, in una condizione di rettificazione del tracciato. La freccia indica, appunto, il jaw jerk su tutte le tracce e si può osservare la diminuzione in ampiezza per il massetere destro mentre risulta relativamente simmetrico sui muscoli temporali.
Analisi spaziale mandibolare
Su questo argomento purtroppo ci sono innumerevoli conflitti concettuali che ridondano ritornando regolarmente in voga dopo un periodo di anni come la metodica tracciamento dell'arco gotico per determinare la relazione centrica di protesi complete, come suggerito da Zhou TF et al .[16] Da ciò che è stato esposto in tutti i capitoli precedentemente pubblicati su Masticationpedia, si evince che l'approssimazione delle metodiche manuali oppure interpretazioni vaghe derivate da una logica di linguaggio verbale non sono raffigurabili nella filosofia scientifica di Masticationpedia che tende a focalizzarsi su un modello mesoscopico più che macroscopicamente descrittivo e formale attraverso modelli matematico statistici come vedremo di seguito. Perciò non condividiamo l'opinione di Zhou TF et al ma assolutamente in linea con i concetti espressi da Silva Ulloa S. et al.[17] in cui si conclude che la corteccia sensomotoria è influenzata dai cambiamenti nell'occlusione e si ipotizza che l'occlusione possa svolgere un ruolo importante nello sviluppo di malattie, dall'ansia e dallo stress al morbo di Alzheimer e alla demenza senile. Condividiamo, inoltre, l'accorato suggerimento di Silva Ulloa S. et al. in cui esorta i dentisti a considerare che le alterazioni del pattern occlusale durante la masticazione possono portare a cambiamenti nell'attivazione di diverse regioni cerebrali correlate alla memoria, all'apprendimento, al dolore anticipatorio e all'ansia.
(Relationship between dental occlusion and brain activity: A narrative review Sebastian Silva Ulloa, Ana Lucía Cordero Ordóñez, Vinicio Egidio Barzallo Sardi)
E' essenziale, perciò, operare in sinergia al contenuto neuromotorio trigeminale per avere un 'Osservabile' più indicativo della realtà masticatoria ed in questo caso della posizione spaziale reale che la mandibola al di là dell'interferenza dentaria vuole raggiungere. Per realizzare questo target abbiamo messo a punto un metodo di Stimolazione Transcraniale Elettrica simultanea delle radici trigeminali che evoca una risposta diretta di tutti i muscoli masticatori da noi denominata bRoot-MEPs come precedentemente citata che ha una indicazione di integrità di 'stato' del tCNS e contestualmente determina una elevazione della mandibola dalla posizione di riposo alla Centrica Occlusale. Questa Centrica è stata denominata da noi Centrica Neuro Evocata Funzionale. ( Figura 5)
Come possiamo notare partendo direttamente da un contesto neurologico impiegando tecnologie avanzate elettrofisiologico trigeminali abbiamo scongiurato la presenza di destrutturazione del tCNS e contestualmente evidenziato un disturbo occlusale di tipo spaziale. La mandibola con questa metodica che genera un potenziale d'azione sincrono di tutti i muscoli innervati dalle radici trigeminali, a parte condizioni di destrutturazione marcata della ATM, genera una chiusura perfettamente fisiologica che in questo caso viene interrotta dalla presenza di una interferenza dentaria dell'elemento 21 che ci conforta nel proseguire il trattamento neuro gnatologico funzionale.
Riabilitazione Neuro Gnatologica Funzionale
Riguardo al trattamento dei pazienti con DTMs ci sono ancora molte conflittualità strategico concettuali quali, per esempio, l'impiego della TENS[18] che il protocollo RDC ha considerato non valido clinicamente tanto quanto da un punto di vista neurofisiologico la TENS non è un metodo appropriato per non essere in grado di evocare una risposta di tutti i muscoli masticatori ma solo di quelli superficiali. In questo limite risiede l'errore spaziale della posizione mandibolare che si troverebbe in una posizione più anteriorizzata dovuta esclusivamente alla risposta motoria del muscolo massetere ( argomento che si tratterà nella sezione 'Crisi del Paradigma').
Per questo motivo bypassiamo la fabbricazione di un bite plane per arrivare direttamente alla riabilitazione protesica neuro gnatologica definitiva. In questo caso specifico si è trattato di una riabilitazione in Centrica Neuro Evocata Funzionale degli incisivi anteriori e dei quattro molari inferiori due per lato. La realizzazione, però, ha seguito degli step pre-ordinati particolarmente obbligati che rappresentano il miglior modo per raggiungere una reale stabilità neuro occlusale, come vedremo dettagliatamente di seguito.(figura 6)
In figura 6a possiamo notare le strutture delle corone in bocca su cui andrà stratificata la ceramica e che verranno ricoperte di cera Aluvax per determinare la Centrica Neuro Evocata Funzionale. La scelta di incorporare nella riabilitazione i quattro molari è stata presa perchè questi elementi sono determinanti per la stabilità occlusale ma anche per la mediotrusione come vedremo di seguito. La posizione mandibolare esatta necessita di un terzo punto anteriore ed è per questo, visto anche l'usura degli incisi e l'importanza di una normocclusione del settore anteriore il coinvolgimento degli incisivi è stato determinante per Centrare la mandibola nella posizione ottimale (figura 6b). Il tutto, ovviamente, con cere di stampo su corone EMpress viene riportato in articolare. (figura 6c)
Dettaglio Neuro Gnatologico Funzionale
Per dettaglio Neuro Gnatologico Funzionale, modello riabilitativo denominato 'Indice NGF' da cui si inizializzerà tutto un processo scientifico che porterà ad un modello paradigmatico diagnostico denominato 'Indice NGF' nella sezione 'Scienza Straordinaria', si intende una aggiustamento occlusale normalizzato alla simmetria neuromotoria trigeminale. Per raggiungere questo obiettivo sono fondamentali replicato gnatologici ( articolatosi) e soprattutto la capacità di leggere le risposte evocate e riflesse del tCNS in diverse situazioni occlusali. Per questo motivo si è proceduto alla stratificazione delle sole centriche attive delle corone in Empress sui quattro molari inferiori. ( figura 7)
In figura 7a,b e c sono state stratificate soltanto le centriche attive dei molari perchè nonostante la registrazione Centrica Neuro Evocate Funzionale sia di assoluta precisione, il trasferimento meccanico dalla bocca al laboratorio ( articolatore) potrebbe incorporare minimi variazioni spaziali. Per questo motivo si è deciso di fermare la chiusura neuro evocata della mandibola leggermente rialzata per poter aver la disponibilità del materiale ceramico da rimodellare seguendo le risposte elettrofisiologiche trigeminali. In sostanza le cuspidi venivano abrase settorialmente e singolarmente per poi comparare con le risposte elettrofisiologiche trigeminali fino alla perfetta simmetria e sincornicità del tCNS. Una volta raggiunto il risultato di simmetria e sincronici la posizione raggiunta diventerà l'asta incisale a zero per concludere la stratificazione.
In figura 8a ed 8b si possono notare le straordinarie differenze nella risposta neuromotoria trigeminale dovute, essendo di tipo funzionale, ad un cambiamento spaziale mandibolare ed un accurato equilibratura neurognatologica occlusale. Si può assistere, infatti, ad una simmetrizzazione del jaw jerk sul massetere destro, ad una diminuzione della durata del periodo silente meccanico e soprattutto una ottimale riattivazione motoneurale dopo il periodo silente (effetto rebound) che sta a significare sicurezza nella riattivazione totale ed immediata della scarica motoneurale. Una volta documentato con dati inconfutabili questa re-simmetrizzazione neuromotoria trigeminale si può passare alla finalizzazione del caso clinico.
Riabilitazione protesica NGF
La finalizzazione del caso clinico diagnosticato definitivamente DTMs ha determinato un ripristino della funzione masticatoria, scomparsa dei sintomi nonché un miglioramento estetico. Le varie fasi della riabilitazioni si possono seguire nella galleria delle immagini della figura 9. In particolare la posizione Centrica Neuro Evocata Funzionale non solo è centrata essendosi spostata leggermente a destra ma anche retrusa. E' interessante fare una comparazione conn la figura 5a per rendersi conto delle differenze spaziali. L'elemento 22, infatti, non è più in crossbite ma in una posizione di testa a testa mentre il 23 ha un contatto centrica molto più incisale rispetto alla situazione clinica precedente, così pure da notare lo spazio occlusale nell'area mediale del 24 che si è venuto a generare con la attuale posizione spaziale mandibolare determinata con la Centrica Neuro Evocata Funzionale. Questo nuovo assetto occlusale è stato possibile solo perchè la posizione centrica stabile e principalmente congelata nel settore dei molari. I molari attraverso l'equilibrio neuromotorio esposto precedentemente sulla cuspide centrica stabilizza l'occlusione e genera un bilanciamento bilaterale nei movimenti mandibolari come sarà a breve descritto.
In figura 9c e 9d, possiamo notare non solo i contatti centrici ben bilanciati ma soprattutto le escursioni mediotrusive. Su questo argomento bisognerebbe spendere qualche parola in più. Benedikt Sagl et al.[19] affermano, nel loro studio in cui si è analizzato il contributo dell'inclinazione dei denti, dell'escursione mediottrusiva e laterotrusiva e gli stress von Mises sul disco articolare, che il bruxing mediotrusivo genera carichi più elevati rispetto alle simulazioni laterotrusive. In questo senso non si capisce bene se i contatti mediotrusivi siano un elemento protettivo oppure peggiorativo nella generazione di disturbi dell'articolazione temporomandibolare. Tanto è vero che un articolo di Walton TR e Layton DM[20] la confusione aumenta in quanto affermano dapprima che la presenza di interferenze MT nelle popolazioni di pazienti, è ampia e varia dallo 0% al 77% per poi concludere che le interferenze MT dovrebbero essere evitate in qualsiasi schema terapeutico occlusale per ridurre al minimo le complicanze pulpari, parodontali, strutturali e meccaniche o l'esacerbazione dei disturbi temporomandibolari (TMD). La confusione aumenta quando conclude che le interferenze MT molari naturali dovrebbero essere eliminate solo se sono presenti segni e sintomi di TMD. La domanda che sorge è la seguente
(....sono le interferenze che provocano il digrignamento e di conseguenza danni all'atm oppure le interferenze naturali sono protettive sul sistema?)
Bisognerebbe fare un pò d'ordine sull'argomento iniziando con lo specificare che cosa si intende per interferenza.
Uno studio di Leitão AWA et al.[21] è straordinariamente significativo avendo simulato oggettivamente l'interferenza sull'animale ed analizzato istologicamente i cambiamenti a livello del ganglio trigmeinale contestualmente al comportamento dell'animale quando trattati con o senza inibitore selettivo della cicloossigenasi 2 (COX-2). Gli autori, inoltre, hanno trattato gli animali con infusione giornaliera di con 0,1 ml/kg di soluzione fisiologica (DOI+SAL) e , 16 o 32 mg/kg di celecoxib (DOI+cel -8, -16, -32). Hanno notato che gli animali sottoposti ad interferenze ed alla stimolazione nocicettiva del massetere lo DOI + SAL ha mostrato un aumento della nocicezione isplaterale (P <0,001) e controlaterale (P <0,001), un aumento del numero di morsi (P = 0,010), graffi (P <0,001) e punteggi delle smorfie (P = 0,032) mentre nel gruppo di DOI+cel-32, questi parametri sono stati ridotti.
Questo studio interessante mostra la correlazione tra interferenza, diminuzione della soglia per il doloro e contestualmente il ripristino con infusione di celecoxib e dunque correlazione neuro-occlusale.
Si-Yi Mo et al.[22] rafforza la correlazione neuro-occlusale di cui sopra dimostrando che il percorso discendente dai neuroni serotoninergici (5-HT) al midollo ventromediale rostrale (RVM) ai recettori 5-HT3 nel nucleo del trigemino spinale (Sp5), gioca un ruolo importante nel facilitare il mantenimento dell'iperalgesia orofacciale dopo la rimozione ritardata dell'interferenza occlusale sperimentale (REOI).
Fin qui abbiamo una visione più vasta sull'argomento interferenza confermata dalla correlazione neuro-occlusale ma il fenomeno si evince anche localmente proprio nel disco articolare. Uno altro studio di Cui SJ et al. [23]ha dimostrato sperimentalmente che l'effetto del sovraccarico meccanico sui dischi dell'ATM in un modello di interferenza occlusale di ratto in vivo, l'inibizione del potenziale vanilloide 4 del recettore transitorio meccanoinduttivo (TRPV4) ha alleviato la degenerazione del disco dell'ATM nel modello di interferenza occlusale del ratto.
In conclusione, come si spera di condividere, la questione è molto più complessa di quanto i clinici pensano e si affrettano ad eliminare le interferenze, per esempio, mediotrusive perchè se il carico indotto sull'articolazione, magari da una ipereccitabilità neuormotoria ( vedi capitolo Spasmo Emimasticatorio e Cavernosa Pineale) l'escursione mediotrusiva potrebbe essere un elemento protettivo magari a discapito del dente stesso.
Per questo motivo bisognerebbe rivalutare il termine 'Interferenza mediotrusiva'
In figura 9c e 9d il percorso mediotrusivo evidenziato con la carta di articolazione è stato costruito attraverso il calcolo dell'angolo determinato dalla Root-MEPs monolaterale che sposta la mandibola di circa 1/2mm su ciascun lato. Attraverso la programmazione dell'articolare Denar ( figura 10) si è potuto costruire una escursione con angoli diversi tra la ATM, molare e canino. Questo procedura genera un percorso naturale in cui il canino guida insieme alla mediotrusuone per proteggere la ATM dal carico masticatorio che esiste comunque al di là del bruxismo.
- ↑ 1.0 1.1 1.2 Mansur Ahmad, Eric L Schiffman. Temporomandibular Joint Disorders and Orofacial Pain. Dent Clin North Am. 2016 Jan;60(1):105-24. doi: 10.1016/j.cden.2015.08.004.Epub 2015 Oct 21.
- ↑ Schiffman E, Ohrbach R, Truelove E, et al. Diagnostic criteria for temporomandibular disorders (DC/TMD) for clinical and research applications: recommendations of the International RDC/TMD Consortium Network* and orofacial pain special interest group†. J Oral Facial Pain Headache 2014;28(1):6–27
- ↑ Magda Krasińska-Mazur, Paulina Homel, Andrzej Gala, Justyna Stradomska, Małgorzata Pihut. Differential diagnosis of temporomandibular disorders - a review of the literature.Folia Med Cracov. 2022;62(2):121-137. doi: 10.24425/fmc.2022.141703.
- ↑ Chiara Vompi, Emanuela Serritella, Gabriella Galluccio, Santino Pistella, Alessandro Segnalini, Luca Giannelli, Carlo Di Paolo. Evaluation of Vision in Gnathological and Orthodontic Patients with Temporomandibular Disorders: A Prospective Experimental Observational Cohort Study. J Int Soc Prev Community Dent PMID: 33042891 PMCID: PMC7523923 DOI: 10.4103/jispcd.JISPCD_273_19
- ↑ 5.0 5.1 Frisardi G. The use of transcranial stimulation in the fabrication of an occlusal splint.J Prosthet Dent. 1992 Aug;68(2):355-60. doi: 10.1016/0022-3913(92)90345-b.PMID: 1501190
- ↑ 6.0 6.1 Cruccu G, Frisardi G, van Steenberghe D. Side asymmetry of the jaw jerk in human craniomandibular dysfunction. Arch Oral Biol. 1992 Apr;37(4):257-62. doi: 10.1016/0003-9969(92)90047-c.PMID: 1520092
- ↑ Kitagawa Y, Enomoto S, Nakamura Y, Hashimoto K. Asymmetry in jaw-jerk reflex latency in craniomandibular dysfunction patients with unilateral masseter pain. J Oral Rehabil. 2000 Oct;27(10):902-10. doi: 10.1046/j.1365-2842.2000.00595.x.PMID: 11065026
- ↑ Yoshino T.Kokubyo Gakkai Zasshi. Effects of lateral mandibular deviation on masseter muscle activity. 1996 Mar;63(1):70-87. doi: 10.5357/koubyou.63.70.PMID: 8725358
- ↑ G Frisardi, G Chessa, A Lumbau, S Okkesim, B Akdemir, S Kara, F.Frisardi. The Reliability of the Bilateral Trigeminal Roots-motor Evoked Potentials as an Organic Normalization Factor: Symmetry or Not Symmetry. Dentistry S2 8, 2161-1122
- ↑ Ro J.Y.,Capra N.F.: Physiological evidence for caudal brainstem projections of jaw muscle spindle afferents.Exp.Brain Res 1999;128: 425-434
- ↑ Capra N.F.,Ro J.Y.: Experimental muscle pain produces central modulation of proprioceptive signals arising from jaw muscle spindles. Pain 2000; 86: 151-162.
- ↑ Appelberg B.,Hulliger M.,Johansson H.Sojka P.: Actions on g-motoneurones elicited by electrical stimulation of group III muscle afferent fibers in the hind limb of the cat.J Physiol. 1983;335: 275-292.
- ↑ Macefield G.,Hagbarth E,Gorman R, Gandevia SC,, Burke D.: Decline in spindle support to a-motoneurones during sustained voluntary contractions.J.Physiol 1991;440:497-512.
- ↑ Mense S.,Skeppar P.: Discharge behavior of feline gamma-motoneurones following induction of an artificial myositis.Pain 1991; 46: 201-210.
- ↑ Pedersen J, Ljubisavljevic M, Bergenheim M.,Johansson H.: Alterations in information trasmission in ensembles of primary muscle spindle afferents after muscle fatigue in heteronymous muscle.Neuroscience 1998;84: 953-959.
- ↑ Zhou TF, Yang X, Wang RJ, Cheng MX, Zhang H, Wei JQ.Beijing Da Xue Xue Bao Yi Xue Ban. A clinical application study of digital manufacturing simple intraoral Gothic arch-tracing device in determining the centric relation of complete dentures. 2023 Feb 18;55(1):101-107. doi: 10.19723/j.issn.1671-167X.2023.01.015.PMID: 36718696
- ↑ Silva Ulloa S, Cordero Ordóñez AL, Barzallo Sardi VE. Relationship between dental occlusion and brain activity: A narrative review. Saudi Dent J. 2022 Nov;34(7):538-543. doi 10.1016/j.sdentj.2022.09.001. Epub 2022 Sep 16.PMID: 36267531
- ↑ Didier HA, Cappellari AM, Gaffuri F, Curone M, Tullo V, Didier AH, Giannì AB, Bussone G. Predictive role of gnathological techniques for the treatment of persistent idiopathic facial pain (PIFP). Neurol Sci. 2020 Nov;41(11):3315-3319. doi: 10.1007/s10072-020-04456-9. Epub 2020 May 21.PMID: 32440980
- ↑ Sagl B, Schmid-Schwap M, Piehslinger E, Rausch-Fan X, Stavness I. The effect of tooth cusp morphology and grinding direction on TMJ loading during bruxism. Front Physiol. 2022 Sep 15;13:964930. doi: 10.3389/fphys.2022.964930. eCollection 2022.PMID: 36187792
- ↑ Walton TR, Layton DM. Mediotrusive Occlusal Contacts: Best Evidence Consensus Statement. J Prosthodont. 2021 Apr;30(S1):43-51. doi: 10.1111/jopr.13328.PMID: 33783093
- ↑ Leitão AWA, Borges MMF, Martins JOL, Coelho AA, Carlos ACAM, Alves APNN, Silva PGB, Sousa FB. Celecoxib in the treatment of orofacial pain and discomfort in rats subjected to a dental occlusal interference model. Acta Cir Bras. 2022 Aug 15;37(5):e370506. doi: 10.1590/acb370506. eCollection 2022.PMID: 35976283
- ↑ Mo SY, Xue Y, Li Y, Zhang YJ, Xu XX, Fu KY, Sessle BJ, Xie QF, Cao Y. Descending serotonergic modulation from rostral ventromedial medulla to spinal trigeminal nucleus is involved in experimental occlusal interference-induced chronic orofacial hyperalgesia. J Headache Pain. 2023 May 10;24(1):50. doi: 10.1186/s10194-023-01584-3.PMID: 37165344
- ↑ Cui SJ, Yang FJ, Wang XD, Mao ZB, Gu Y. Mechanical overload induces TMJ disc degeneration via TRPV4 activation. Oral Dis. 2023 Apr 27. doi: 10.1111/odi.14595. Online ahead of print.PMID: 37103670