Difference between revisions of "Conclusions on the status quo in the logic of medical language regarding the masticatory system"

Line 1: Line 1:
{{ArtBy|
| autore = Gianni Frisardi
| autore2 =
| autore3 =
| autore4 =
| autore5 =
| autore6 =
| autore7 =
}}
== Introduction ==
== Introduction ==


Line 65: Line 75:
</center>
</center>
<center><gallery widths="350" heights="200" perrow="4" slideshow""="">
<center><gallery widths="350" heights="200" perrow="4" slideshow""="">
File:Spasmo emimasticatorio ATM.jpeg|'''Figure 2:'''  <math>\delta_1=</math> Patient's TMJ Stratigraphy showing signs of condylar flattening and osteophyte
File:Spasmo emimasticatorio ATM.jpg|'''Figure 2:'''  <math>\delta_1=</math> Patient's TMJ Stratigraphy showing signs of condylar flattening and osteophyte
File:Atm1 sclerodermia.jpeg|'''Figure 3:''' <math>\delta_1=</math> Computed Tomography of the TMJ
File:Atm1 sclerodermia.jpg|'''Figure 3:''' <math>\delta_1=</math> Computed Tomography of the TMJ
File:1600px-Spasmo emimasticatorio assiografia.jpg|''' Figure 4:''' <math>\delta_1=</math> Axiography of the patient showing a flattening of the chewing pattern on the right condyle
File:1600px-Spasmo emimasticatorio assiografia.jpeg|''' Figure 4:''' <math>\delta_1=</math> Axiography of the patient showing a flattening of the chewing pattern on the right condyle
File:EMG2.jpeg|'''Figure 5:''' <math>\delta_2=</math> EMG Interferential Pattern. Overlapping upper traces corresponding to the right masseter, lower to the left masseter.  
File:EMG2.jpg|'''Figure 5:''' <math>\delta_2=</math> EMG Interferential Pattern. Overlapping upper traces corresponding to the right masseter, lower to the left masseter.  
</gallery>
</gallery>
</center>
</center>
Line 74: Line 84:
<center>
<center>
'''Propositions in the Neurological Context'''<gallery widths="350" heights="200" perrow="4" slideshow""="">
'''Propositions in the Neurological Context'''<gallery widths="350" heights="200" perrow="4" slideshow""="">
File:Spasmo emimasticatorio JJ.jpeg|'''Figure 6:''' <math>{\gamma _{1}}=</math> Jaw jerk electrophysiologically detected on the right (upper traces) and left (lower traces) masseters
File:Spasmo emimasticatorio JJ.jpg|'''Figure 6:''' <math>{\gamma _{1}}=</math> Jaw jerk electrophysiologically detected on the right (upper traces) and left (lower traces) masseters
File:Spasmo emimasticatorio SP.jpeg|'''Figure 7:''' <math>\gamma _2=</math> Mechanical silent period detected electrophysiologically on the right (upper overlapping traces) and left (lower overlapping traces) masseters
File:Spasmo emimasticatorio SP.jpg|'''Figure 7:''' <math>\gamma _2=</math> Mechanical silent period detected electrophysiologically on the right (upper overlapping traces) and left (lower overlapping traces) masseters
File:Spasmo emimasticatorio TC.jpeg|''' Figure 8:''' <math>\gamma _3=</math> CT shows evident hypertrophy of the right masseter
File:Spasmo emimasticatorio TC.jpg|''' Figure 8:''' <math>\gamma _3=</math> CT shows evident hypertrophy of the right masseter
File:Spasmo emimasticatorio.jpeg|'''Figura 9:''' Patient in '''leaving''' from the Functional Neuro Gnathology Department after 1 week with differential diagnosis of 'Hemimasticatory Spasm'
File:Spasmo emimasticatorio.jpg|'''Figura 9:''' Patient in '''leaving''' from the Functional Neuro Gnathology Department after 1 week with differential diagnosis of 'Hemimasticatory Spasm'
</gallery>
</gallery>
</center>
</center>
Line 118: Line 128:
| align="right" width="10%" |'''Normocclusion'''
| align="right" width="10%" |'''Normocclusion'''
|}<center><gallery widths="350" heights="200" perrow="2" slideshow""="">
|}<center><gallery widths="350" heights="200" perrow="2" slideshow""="">
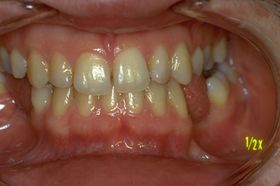
File:Occlusal Centric view in open and cross bite patient.jpeg|'''Figura 10a:''' Patient in '''entry''' in the Functional Neuro Gnathology department referred by colleagues for orthodontic and orthodontic treatment. It would be, orthodontically speaking, irreverent not to consider the patient in a state of malocclusion. According to orthodontic canons, this is a case to be treated both orthodontically and surgically to restore a hypothetical 'Normocclusion' but we will see that the reality is quite different
File:Occlusal Centric view in open and cross bite patient.jpg|'''Figura 10a:''' Patient in '''entry''' in the Functional Neuro Gnathology department referred by colleagues for orthodontic and orthodontic treatment. It would be, orthodontically speaking, irreverent not to consider the patient in a state of malocclusion. According to orthodontic canons, this is a case to be treated both orthodontically and surgically to restore a hypothetical 'Normocclusion' but we will see that the reality is quite different


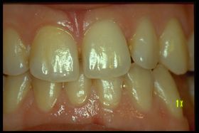
File:Chirurgia Ortognatica 1.jpeg|'''Figure 10b:''' Patient in '''entry''' in the Functional Neuro Gnathology department referred by colleagues for a prosthetic rehabilitation of edentulous mandibles considered to be in a condition of 'normal occlusion' after having been surgically treated with a bimaxillary orthognathic intervention. The patient, therefore, would find himself in a condition of 'Normocclusion but we will see that even in this case the reality is quite different.
File:Chirurgia Ortognatica 1.jpeg|'''Figure 10b:''' Patient in '''entry''' in the Functional Neuro Gnathology department referred by colleagues for a prosthetic rehabilitation of edentulous mandibles considered to be in a condition of 'normal occlusion' after having been surgically treated with a bimaxillary orthognathic intervention. The patient, therefore, would find himself in a condition of 'Normocclusion but we will see that even in this case the reality is quite different.
Line 126: Line 136:


<center><gallery widths="350" heights="200" perrow="2" slideshow""="">
<center><gallery widths="350" heights="200" perrow="2" slideshow""="">
File:Bilateral Electric Transcranial Stimulation.jpeg|''''Figure 11a'''  Determination of the anatomical symmetry (structural or organic) of the patient's motor trigeminal nervous system in figure 1 with '''Malocclusion'''. The area of the graph (latency-amplitude) gives for the right side the value 13.15 mV / ms, for the left side a value of 13.60 mV / ms This indicates a symmetry difference of 0.8%.
File:Bilateral Electric Transcranial Stimulation.jpg|''''Figure 11a'''  Determination of the anatomical symmetry (structural or organic) of the patient's motor trigeminal nervous system in figure 1 with '''Malocclusion'''. The area of the graph (latency-amplitude) gives for the right side the value 13.15 mV / ms, for the left side a value of 13.60 mV / ms This indicates a symmetry difference of 0.8%.
File:Transcranial Stimulation 1.jpeg|'''Figura 11b:''' Determination of the anatomical symmetry of the patient's nervous system "figure 1 malocclusion". The graph area (latency-amplitude) gives for the right side the value 9.7 mV / ms for the left side a value of 9.69 mV / ms. This indicates a symmetry of 0.1%.
File:Transcranial Stimulation 1.jpeg|'''Figura 11b:''' Determination of the anatomical symmetry of the patient's nervous system "figure 1 malocclusion". The graph area (latency-amplitude) gives for the right side the value 9.7 mV / ms for the left side a value of 9.69 mV / ms. This indicates a symmetry of 0.1%.
</gallery>
</gallery>
Line 132: Line 142:


<center><gallery widths="350" heights="200" perrow="3" slideshow""="">
<center><gallery widths="350" heights="200" perrow="3" slideshow""="">
File:Jaw Jerk .jpeg|'''Figura 12a:''' Determination of the functional component of the Central Nervous System. The results for patient 1 malocclusion show an area of 1.34 mV / ms and 1.46 mV / ms on the right and left masseter respectively. This shows a symmetry difference of 8.2%.
File:Jaw Jerk .jpg|'''Figura 12a:''' Determination of the functional component of the Central Nervous System. The results for patient 1 malocclusion show an area of 1.34 mV / ms and 1.46 mV / ms on the right and left masseter respectively. This shows a symmetry difference of 8.2%.
File:Ortognatica Jaw jerk.jpeg|'''Figura 12b:''' Determination of the functional component of the Central Nervous System. Results for patient 2 (normocclusion) show an area of 1.37 mV / ms and 0.13 mV / ms on the right and left masseter, respectively. This shows a 90.5% symmetry difference.
File:Ortognatica Jaw jerk.jpeg|'''Figura 12b:''' Determination of the functional component of the Central Nervous System. Results for patient 2 (normocclusion) show an area of 1.37 mV / ms and 0.13 mV / ms on the right and left masseter, respectively. This shows a 90.5% symmetry difference.
</gallery>
</gallery>
Line 139: Line 149:
<center>
<center>
<gallery widths="350" heights="200" perrow="2" slideshow""="">
<gallery widths="350" heights="200" perrow="2" slideshow""="">
File:Mechanic Silent Period.jpeg|'''Figure 13a:''' Execution of the Mechanical Silent Period showing perfect symmetry both in latency and duration as well as a well represented post-inhibition integral area.
File:Mechanic Silent Period.jpg|'''Figure 13a:''' Execution of the Mechanical Silent Period showing perfect symmetry both in latency and duration as well as a well represented post-inhibition integral area.
File:Ortognatica Periodo silente.jpeg|'''Figura 13b:''' Lack of the masseterine mechanical Silent Period on both sides which demonstrates the evident lack of motor neuron recruitment from occlusal instability.
File:Ortognatica Periodo silente.jpeg|'''Figura 13b:''' Lack of the masseterine mechanical Silent Period on both sides which demonstrates the evident lack of motor neuron recruitment from occlusal instability.
</gallery><gallery widths="350" heights="200" perrow="2" slideshow""="">
</gallery><gallery widths="350" heights="200" perrow="2" slideshow""="">
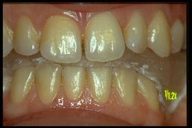
File:Occlusal Centric view in open and cross bite patient.jpeg|'''Figura 14a:''' Patient in '' 'exit' '' from the Functional Neuro Gnathology department with referencing of 'Occlusal dimorphism' and not of 'Malocclusion'
File:Occlusal Centric view in open and cross bite patient.jpg|'''Figura 14a:''' Patient in '' 'exit' '' from the Functional Neuro Gnathology department with referencing of 'Occlusal dimorphism' and not of 'Malocclusion'
File:Chirurgia Ortognatica 1.jpeg|'''Figura 14b:''' Patient in '' 'exit' '' from the Functional Neuro Gnathology department with severe 'Malocclusion' report to be treated immediately.
File:Chirurgia Ortognatica 1.jpeg|'''Figura 14b:''' Patient in '' 'exit' '' from the Functional Neuro Gnathology department with severe 'Malocclusion' report to be treated immediately.
</gallery></center>
</gallery></center>

Revision as of 14:53, 18 August 2022

 

Masticationpedia
Article by  Gianni Frisardi

 

Introduction

After a lexical path concerning the status quo in the field of diagnostics of the masticatory system, sometimes apparently off topic, we have reached the stage in which all the discourses crystallize in clinical practice and therefore we will try to explain the reason for so much dialectical length. First of all, we can defend this strategy of conceptual exposure with the difficulty of the change of mindset which is generally innate in the human being as well as Kuhn explains well in his scientific philosophy of 'Paradigms'. He says that the new paradigms, namely the' Extraordinary Science 'generates tenacious opponents to its acceptance. This is also justifiable because there are a myriad of storytellers around although it is also true that the new paradigms destabilize the acquired power and that is why they are often rejected even by confirmed cultural environments.

Having said that, however, the fact is that here there is a human being called 'Patient' involved and the restriction of the cultural and progressive field does not go to the detriment of the man of power who is a professor or politician but exclusively of the patient. Since the project follows the Feyerabend philosophy, as already said somewhere, Masticationpedia shows all its loyal, democratic and ethical scientific thinking with ideas, facts and clinical cases, the rest will be time to judge the veracity of the project.

Medical errors diagnose as much as the axioms on which therapeutic models are based are continually clashing between titans of the clinical scientific scene as some studies on the subject point out:

  • The lack of standardized nomenclature and overlapping definitions of medical errors has hindered the analysis, the synthesis and data evaluation.[1]
  • The diagnostic process is collaborative and involves the patient, the clinician, the healthcare system and its various stakeholders [2]
  • Contributing factors associated with misdiagnosis included dentist knowledge and skills, inadequate time, lack of communication between colleagues, and cognitive biases such as premature closure based on prior experience. Some participants perceived that an error only occurs when the choice of treatment leads to harm. The strategies suggested by the participants to prevent these errors required adequate time to investigate a case, form study groups, increase communication, and place greater emphasis on differential diagnosis. [3]

These three bibliographic references were enough to extrapolate some essential concepts such as standardized nomenclature which presupposes the need for formal methodologies as in mathematical and physical sciences and not subjective and / or exclusively descriptive models; The diagnostic process understood as an 'Observable' in which several elements are involved such as the observer, the measuring instrument, the patient as well as the ability to interpret verbal language and decode the encrypted signal of the observed system; place greater emphasis on differential diagnosis, a key element that we will try to demonstrate practically with some cases mentioned in the previous chapters.

These quotations and questions have led us to a more appropriate and profound description of the topics covered in the previous chapters because we cannot talk about standardized nomenclature, diagnostic process and differential diagnosis without talking about:


  • Epistemology of knowledge

Epistemology (from the Greek ἐπιστήμη, epistème, "certain knowledge" or "science", and λόγος, logos, "discourse") is that branch of philosophy that deals with the conditions under which scientific knowledge can be obtained and the methods to achieve such knowledge. The term specifically indicates that part of gnoseology that studies the foundations, validity and limits of scientific knowledge. In fact, an almost unlimited value has been given to a statistical test such as [4][5][6] and to the statistical data of a 'Classical Probability' based on Bayes' Theorem (which we will discuss in the next chapters)[7] and then witness a relative brake on the subject [8][9] and all that is'Epistomologia' that almost spontaneously highlighted another fundamental passage that of 'Interdisciplinarity', a phenomenon that with great effort is recognized as important as the specialized disciplines.

  • Interdisciplinarity

IThe proposed alternative philosophical paradigm, called the "Engineering Paradigm of Science" implies alternative philosophical assumptions regarding aspects such as the purpose of science, the character of knowledge, the epistemic and pragmatic criteria for the acceptance of knowledge and the role of technological tools. Consequently, scientific researchers need so-called metacognitive scaffolds to aid in the analysis and reconstruction of how "knowledge" is constructed in different disciplines. [10][11] Precisely these 'Metacognitive Scaffolds' have allowed us to consider an important requirement in diagnostics that of 'basic knowledge' which tends to reduce the vagueness and ambiguity of the logic of medical language.[12]

  • Logic of medical language

These premises [13] [14] led us to the description of 'Fuzzy logic' models in which the 'Basic knowledge' is stratified at multiple levels of the context in multiple disciplines, increasing its capacity in differential diagnosis. All this isLogic of medical language' with which we followed the diagnostic process of our poor patient 'Mary Poppins' who for 10 years hoped to be made a certain diagnosis despite the various attempts of clinical scientific propositions in the dental and neurological context:

Propositions in the Dental Context


Positive radiological report of the TMJ in Figure 2

Positive CT report of the TMJ in Figure 3

Positive axiographic report of the condylar traces in Figure 4

Asymmetric EMG interference pattern in Figure 5

Propositions in the Neurological Context

Jaw jerk in Figure 6

Mechanical Silent Period in Figure 7

CT right masseter muscle in Figure 8


Propositions in the Dental Context
Propositions in the Neurological Context

Any colleague, even if of excellent clinical preparation in his own exclusive scientific dental context, would have had considerable difficulty in making a differential diagnosis between 'Temporomandibular Disorders' and 'Neuromotor Damage' without implementing his 'basic knowledge' on the exclusively neurophysiological phenomenon of trasmissione sinaptica. Here, in fact, the limits of the , classical probability and Bayes statistical processes referring to specific contents of the discipline in question.

The encrypted code sent out by the trigeminal system to be decrypted was:

«Ephaptic trasmission»
(----which we will discuss extensively in the chapter 'Hemimasticatory Spasm')

But to the previous complexities of medical reality and difficulties of an ambiguous and vague logic of language are added problems related to the interpretation of the phenomena which is substantially dichotomous: a phenomenon that is physical, chemical or biological can be interpreted through a deterministic mindset exclusively causa / effect that falls into a classical probability or that prefers an exclusively probabilistic description of reality called quantum probability. From these considerations we have proposed the thought of the superposition of states of a system starting a priori from the belief that an asymptomatic subject is simultaneously healthy and sick until the 'Observable' is measured through an instrument. Leaving aside the various interpretations, the collapse of orthodox thought will be caused by the interaction with a macroscopic measuring object, that is when this 'Observable' is observed by the observer. We have therefore generated an 'Observable' comprising the physical state of the system itself, an observer and a measuring instrument.

  • Introduction to quantum-like diagnostics

As described in the specific chapters, the quantum-like strategy exclusively concerns the epistemological and probabilistic aspect and has no correlation with the typical characteristics of quantum particle physics, although it extrapolates probabilistic mathematics. To be precise, the formula is incomplete, we have to multiply each term to the right of the equation with a number. The number indicates the 'probability' that the specific event will occur, the complete formula will be:

The number indicates the probability (square rooted) that the specific event will occur.

Let's take an example that brings us closer to the medical field:

if the event has a 50% chance of occurrence and the event has 50% to occur then the formula becomes (less than phase factors)

which in more exact terms mathematically turns into


In this way two other limits of laboratory diagnostics are deduced, that of measurement uncertainty and classical probability vs quantum probability which substantially cast indecision on the interpretation of clinical and diagnostic phenomena. Let's see an example:

entry: Malocclusion Normocclusion

exit: Normocclusion Malocclsusion

At this point, after having somehow considered the axiomatic certainties and deterministic significances in a diagnostic context as critical( ) and having proposed a quantum probability model that in broad lines follows the path of the Bayes Theorem by adding an interference element ( vedi Khrennikov) obviously and in a completely understandable and justifiable way a Hamletic doubt arises

«To be healthy or not to be healthy, that is the question»

The model presented, of course, is remarkably complex because in this context only the conceptual procedure to follow has been presented but we will see later in the reading that everything will materialize in an interesting modeling of the trigeminal electrophysiological responses from which a clinical mesoscopic model will be created. of which we can anticipate the name, 'Index. Through this Index we could evaluate in detail and quickly the state of the trigeminal system and consider the patient in 'Normocclusion' or in 'Malocclusion'

Having said this, however, there is a clarification to avoid falling into misunderstandings such as:

«'then let's not treat anyone anymore ', well this is not the moral of the story but:»
('yes of course we will continue to treat patients but knowing what we are doing from a neurophysiological point of view.)

We give you an example:

Figure 15a shows the previously presented patient undergoing orthognathic surgery and who at a first electrophysiological check showed a wide asymmetry of the reflexes with lack of the masseterine silent period. This led us, therefore, to confirm the occlusal state of 'Malocclusion'. This could give rise to the above misunderstandings because actually orthognathic will never be able to respect the neurophysiological conditions in an appropriate way because the interventions are complex and in a condition of curarization that cancels the neuromotor component. The orthognathic, therefore, intrinsically has the limit of the cancellation of the neuromotor component and must necessarily follow the anatomical and occlusal canons. The fact is that frequently the anatomical and neuromotor conditions coincide, returning a perfectly successful model from an aesthetic, functional and neuromuscular point of view, but sometimes the pre and operative conditions do not succeed in this aim.

The occlusal position and therefore the 'Centric Relationship' from which to start to finalize the patient orthodontically and prophetically necessarily depend on the spatial position of the TMJ and of the mandible after surgical reduction. The finalization procedures, therefore, through anatomical maneuvers such as the centric recordings will necessarily return the spatial position in figure 15b.

As previously mentioned, for each problem the code to decrypt should be found and in this case it is the curarization that has canceled the neuromotor component and therefore, from here we must start to recover the component.

By performing a neuroecovata Centric recording through a technique of 'Transcranial electrical stimulation' of the trigeminal motor roots, the mandibular spatial position will correspond to the neuromotor component and the irrefutable result will be that in figure 15c.

As can be seen, the 'Centrica Neuro Evocata' has re-established the neuromotor component previously lost due to curarization with a 3 mm shift to the right of the mandible.

If the patient had been treated with orthodontics and prostheses in the 'Anatomical Centric Position' at the patient's discharge from the maxillofacial departments, we would have had an excellent aesthetic result in 'Neuromotor malocclusion'.

In the next chapters, therefore, we will deal with showing the diagnostic difficulties and the axiomatic errors in formulating an ideological model in the field of masticatory rehabilitations.



Bibliography

  1. Thomas L. Rodziewicz, Benjamin Houseman, John E. Hipskind . Medical Error Reduction and Prevention
  2. Gaël Grandmaison, Viviane Ribordy, Marco Mancinetti. Diagnostic errors : The importance of a systems approach Rev Med Suisse. 2021 Sep 8;17(749):1506-1511.
  3. Cathy Nikdel, Kian Nikdel, Ana Ibarra-Noriega, Elsbeth Kalenderian, Muhammad F Walji. Clinical Dental Faculty Members' Perceptions of Diagnostic Errors and How to Avoid Them. J.Dent Edu. 2018 Apr;82(4):340-348. doi: 10.21815/JDE.018.037.
  4. Amrhein V, Greenland S, McShane B, «Scientists rise up against statistical significance», in Nature, 2019. DOI:10.1038/d41586-019-00857-9
  5. Rodgers JL, «The epistemology of mathematical and statistical modeling: a quiet methodological revolution», in Am Psychol, 2010. DOI:10.1037/a0018326
  6. Meehl P, «The problem is epistemology, not statistics: replace significance tests by confidence intervals and quantify accuracy of risky numerical predictions»  in eds Harlow L. L., Mulaik S. A., Steiger J. H.,  What If There Were No Significance Tests? - editors. (Mahwah: Erlbaum, 393–425. [Google Scholar]
  7. Sprenger J, Hartmann S, «Bayesian Philosophy of Science. Variations on a Theme by the Reverend Thomas Bayes», Oxford University Press, 2019, Oxford
  8. Wasserstein RL, Schirm AL, Lazar NA, «Moving to a World Beyond p < 0.05», in Am Stat, 2019. DOI:10.1080/00031305.2019.1583913
  9. Dettweiler Ulrich, «The Rationality of Science and the Inevitability of Defining Prior Beliefs in Empirical Research», in Front Psychol, 2019. DOI:10.3389/fpsyg.2019.01866
  10. Boon M, Van Baalen S, «Epistemology for interdisciplinary research - shifting philosophical paradigms of science», in Eur J Philos Sci, 2019. DOI:10.1007/s13194-018-0242-4
  11. Boon M, «An engineering paradigm in the biomedical sciences: Knowledge as epistemic tool», in Prog Biophys Mol Biol, 2017.DOI:10.1016/j.pbiomolbio.2017.04.001
  12. Codish S, Shiffman RN, «A model of ambiguity and vagueness in clinical practice guideline recommendations», in AMIA Annu Symp Proc, 2005.PMID:16779019
  13. Boon M, Van Baalen S, «Epistemology for interdisciplinary research - shifting philosophical paradigms of science», in Eur J Philos Sci, 2019DOI:10.1007/s13194-018-0242-4
  14. Boon M, «An engineering paradigm in the biomedical sciences: Knowledge as epistemic tool», in Prog Biophys Mol Biol, 2017DOI:10.1016/j.pbiomolbio.2017.04.001