Encrypted code: Bilateral Motor Evoked Potentials of trigeminal root

Revision as of 10:26, 4 June 2023 by Gianni (talk | contribs)
Go to top
Other languages:  

English · Italiano · 

In questo ultimo capitolo riferito alla correlazione tra malocclusione e disturbi posturali possiamo percepire come gli assiomi a volte frettolosamente generati da una conoscenza di base limitata nel campo della neurofisiopatologia trigeminale possano provocare danni gravi da un punto di vista diagnostico. Il paziente 'Balancer' presentato nei capitoli precedenti da più di 10 anni era affetto da un meningioma in base cranica che per il suo volume in crescita progressiva ha compresso e contestualmente stirato le fibre sensitive e motorie del sistema trigeminale oltre aver danneggiato i centri mesencefali e pontini e le aree adiacenti al tumore. Il termine usato dal paziente nel riferire il disturbo, in linguaggio verbale, era 'difficoltà masticatoria' ma in linguaggio macchina si sarebbe dovuto decriptare in 'mancanza dell'effetto stereognosico masticatori' da deficit sensoriale propriocettivo. L'assenza del jaw jerk sul lato destro, infatti, ne dimostra la reale entità del danno. La bRoot-MEPs conferma il danno organico e la asimmetria di latenza del periodo silente elettrico conclude la diagnosi clinica. La RMN mostra la grave complicazione neurologica di spostamento del tronco encefalico. Si tenga conto che un meningioma di questa entità aumenta di volume fino a raggiungere, come ne nostro caso un diametro di 8 cm, con una latenza temporale decennale. La domanda è la seguente: nelle prime fasi dell'incremento volumetrico dove erano apprezzabili esclusivamente disturbi di tipo masticatorio riferito ai colleghi odontoiatrici, sarebbe stato possibile fare diagnosi elettrofisiologica di danno organico trigeminale? Certo che si perchè forse non avremmo assistito ad una assenza dei riflessi sia in latenza che in ampiezza ma sicuramente avremmo notato una notevole asimmetria ed un ritardo di latenza del periodo silente nonché una anomalia di ampiezza nei bRoot-MEPs. In conclusione la correlazione tra sistema vestibolare e trigeminale benché sia presente da un punto di vista anatomico e neurofisiopatologico dovrebbe non essere considerata dalle procedure riabilitative masticatorie perchè troppo pericoloso un errore nella diagnosi differenziale.  

 

Masticationpedia

 

Introduction

Nel capitolo introduttivo riguardante il 3° caso clinico affetto da meningioma in cui il disturbo di difficoltà masticatoria riferito dal paziente 'Balancer' era stato correlato ad un problema riabilitativo protesico, si è già arrivati ad una primo filtro diagnostico considerando valida la asserzione neurologica a quella odontoiatrica. Di conseguenza ci si può concentrare sull'intercettazione dei test necessari per decriptare il codice del linguaggio macchina che il SNC invia all'esterno convertito in linguaggio verbale. Apparentemente questo linguaggio verbale indirizzerebbe il caso in un disturbo Posturale correlato ad una malocclusione dentaria dovuta da incongrua riabilitazione protesica. Se da una lato ci può stare una asimmetria dello EMG interferenziale dei masseteri per uno sbilanciamento occlusale protesico dall'altra non è giustificabile una asimmetria così evidente del jaw jerk e del periodo silente. Per questo motivo è essenziale proseguire con il modello diagnostico Masticationpedia per giungere ad una diagnosi conclusiva esatta e rapida. Iniziamo perciò con lo 'Cognitive Neural Network' che risponde, come ormai sappiamo, con una sequenza di dati scientifico clinici, tenendo sempre in considerazione l'importanza dello step di 'iniziazione' che in questo caso è stato fissato in 'Gait'.

Gait (45.300), motor evoked potentials (231),reflex (36), jaw(1) 'Cerebellar ataxia, neuropathy, vestibular areflexia syndrome (CANVAS) with chronic cough and preserved muscle stretch reflexes: evidence for selective sparing of afferent Ia fibres'

Sequenza diagnostica

1st Step: CNN Sequence

https://pubmed.ncbi.nlm.nih.gov/29696497/ (gait AND tendon reflex AND masseter)

  • Coherence Demarcator: Come abbiamo precedentemente descritto per gli altri casi clinici, il primo passo è un comando di inizializzazione della Cognitive Neural Network 'CNN' che deriva, appunto, da una precedente elaborazione cognitiva sulle asserzioni nel contesto odontoiatrico e neurologico in cui lo ' Demarcatore di Coerenza' ha dato un peso prevalente. Di fatto, il contesto odontoiatrico è stato già eliminato dal Demarcatore di Coerenza . Da quanto emerge dalle asserzioni neurologiche lo 'Stato' del Sistema Nervoso Trigeminale appare fortemente danneggiato. Il comando di inizializzazione sarà, perciò, 'Gait'.
  • 1st loop open: Il primo risultato del 'CNN'' per la parola chiave 'Gait' restituisce 45,300 resultati, ovviamente, troppo vasto per essere esaustivo ma avendo constatato nella fase dell'analisi dei contesti una situazione elettrofisiologica trigeminale grave e con marcate anomalie strutturali e funzionali, possiamo tranquillamente inserire una chiave correlata come ' Motor Evoked Potentials' senza specificare il distretto trigeminale che potrebbe sconfinare dall'insieme individuato.
  • 2st loop open: A questa seconda interrogazione 'Motor Evoked Potentials' il database risponde con 231 resultati ancora troppo vasta come risposta e dunque si cerca una chiave più affine al caso clinico presentato. Visto che i risultati più anomali nel contesto neurologico sono emersi dalle alterazioni di latenza ed ampiezza dei riflessi trigeminali, una appropriata chiave di accesso potrebbe essere, appunto, 'Reflex' anch'essa senza specificare 'trigeminal' per gli stessi motivi anticipati.
  • 3st loop open: Alla richiesta 'Reflex' la risposta fu di 36 risultati che hanno ristretto il campo di analisi per la diagnosi del nostro paziente 'Balancer'. Soltanto a questo livello del CNN si può tentare di chiudere il loop con una richiesta più specifica del tipo 'Jaw'. In questo modo non abbiamo perso il contatto con l'insieme considerato e siamo rimasti nel campo dell'elettrofisiologia.
  • 4st loop open: La richiesta 'jaw' infatti nei 36 risultati si può intercettare un articolo in cui vengono riportati alcuni parametri elettrofisiologici che corrispondono ad una situazione clinica di atassia cerebellare, una patologia in cui l'instabilità Posturale e di deambulazione è un segno clinico imponente ed importante.
2st Step: Analisi CNN

L'anali di chiusura del loop dello 'CNN' ovviamente si basa sull'articolo terminale 'Jaw' che sostanzialmente descrivere cinque pazienti con atassia cerebellare, neuropatia e sindrome da areflessia vestibolare (CANVAS) con tosse cronica e riflessi di stiramento muscolare degli arti inferiori preservati. In particolare i potenziali evocati somatosensoriali erano assenti o gravemente attenuati. Le registrazioni del riflesso T bicipite e femorale erano normali, mentre il riflesso masseterino era assente o attenuato.

Figura 1: Asserzione neurologica che evidenzia una grave anomalia di latenza ed ampiezzza del jaw jerk destro

La prima osservazione da fare è che i pazienti erano affetti da tosse cronica spasmodica e la seconda osservazione era la preservazione dei riflessi tendine degli arti inferiori. Nel nostro paziente 'Balancer' invece sussisteva l'assenza totale del riflesso tendine mandibolare[1] () per cui il danno neurologico era molto evidente a livello mesencefalico trigeminale. (Figura 1) L'apporto multifunzionale della circuiteria sinaptica mesencefalica da parte delle terminazioni nervose propriocettive ( e ) sono di primaria importanza sia per la postura che per i riflessi cervico-oculomotori. Un articolo molto interessante di Yongmei Chen et al.[2] ha mostrato, attraverso marcatori, come i neuroni afferente al nucleo mesencefalico trigeminale (Vme) dai muscoli mascellari proiettino ai nuclei oculomotori (III/IV) e ai loro neuroni premotori nel nucleo interstiziale di Cajal (INC), un noto centro pre-oculomotore che manipola verticalmente movimenti oculari torsionali.

La conclusione concettuale degli autori è stata che i neuroni Vme propriocettivi dei muscoli masticatori proiettanti al III/IV e INC rileverebbero l'attività del fuso ai cambiamenti spaziali della mascella condizionata dalla forza di gravità e/o dalla connessione tra la mandibola durante la rotazione della testa. Pertanto, l'innervazione convergente dei neuroni Vme e MVN sui nuclei oculomotore e pre-oculomotore sarebbe un substrato neuroanatomico per l'interazione della propriocezione masticatoria con i segnali vestibolo-oculari sul sistema oculomotore durante il VOR verticale-torsionale. Il contributo di questo articolo ci consente di considerare, ovviamente, una correlazione tra il sistema trigeminale, la postura e la deambulazione, pertanto, l'abnorme asimmetria del jaw jerk potrebbe essere correlato ad un disturbo posturale del nostro paziente 'Balancer'

Tutti e cinque i pazienti erano nella settima decade di età, il loro squilibrio dell'andatura era iniziato nella quinta decade. In quattro pazienti la tosse ha preceduto lo squilibrio dell'andatura tra i 15 ai 29 anni; la tosse era spasmodica e scatenata da fattori variabili. Inoltre i test di funzionalità vestibolare hanno mostrato una compromissione bilaterale del riflesso vestibolo-oculare.

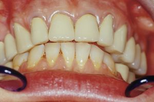
Figura 2: Aspetto occlusale del paziente 'Balancer' a cui era stato più volte ripristinata l'incongrua occlusale sul lato destro.

La presenza della tosse cronica spasmodica, in questo studio, da oltre 10 anni ancor prima che si presentassero disturbi dell'equilibrio e posturali lasciano intendere che il linguaggio macchina, come più volte esposto nei capitoli specifici di Masticationpedia, è una realtà da non trascurare perchè il linguaggio verbale ambiguo e vago copre l'informazione del codice criptato. Come avremo modo di dimostrare nel corso della discussione l'analogo del sintomo tosse spasmodica dei pazienti riportati dall'articolo di Jon Infante[3]potrebbe essere il ripetuto riferire ai colleghi odontoiatrici della difficoltà masticatoria da parte del nostro paziente 'Balancer'. (Figura 2) Questo parametro non è stato considerato come 'codice criptato' ma solo elemento di logica di linguaggio verbale e dunque vago ed ambiguo. Il rifacimento continuo della riabilitazione protesica smorzava ancor di più l'informazione del linguaggio macchina fino a che la sommazione temporale e spaziale del danno organico si trasformasse in sintomo macroscopico di vertigini e di perdita di equilibrio nella deambulazione.

L'articolo di Jon Infante[3] conclude con una affermazione eclatante e cioè che la tosse spasmodica può essere parte integrante del quadro clinico nei CANVAS, anticipando la comparsa dello squilibrio posturale di diversi decenni e che il risparmio delle afferenze del fuso muscolare (fibre Ia) è probabilmente la base fisiopatologica della normoreflessia.

«Siamo giunti alla conclusione che il disturbo posturale del paziente non poteva essere correlato con l'incongruenza occlusale riabilitativa bensì ad un danno neurologico ma la domanda ora è la seguente:»
(.il danno neurologico è di tipo funzionale oppure organico?)

Processo di decriptazione

L'iter diagnostico seguito ormai di routine secondo il modello Masticationpedia ci ha consentito di eliminare, attraverso il demarcatore di coerenza , il contesto odontoiatrico per seguire quello neurologico e di approfondire attraverso lo 'Cognitive Neural Network' (CNN) le possibili correlazioni tra sintomi e anomalie neurofisiologiche nei pazienti con disturbi posturali, di deambulazione dovute a patologie funzionali ( labirintiti, neuropatie ecc.) da quelle organiche ( tumori, demielinizzazioni ecc.). Ora bisogna cercare di decriptare il messaggio criptato del linguaggio macchina del Sistema Nervoso Trigeminale.

Codice criptato

Figura 2: Determinazione della componente funzionale del Sistema Nervoso Centrale. I risultati per il paziente 2 (normocclusione) mostrano un'area di 1,37 mV/ms e 0,13 mV/ms rispettivamente sul massetere destro e sinistro. Questo mostra una asimmetria tra lati di circa il 100%.
Figura 1: Asserzione neurologica che evidenzia una grave anomalia di latenza del jaw jerk

Come anticipato, in primis abbiamo potuto evidenziare una grave assenza del jaw jerk riportata come   Anormalità, positività del referto ( Figura 1) ma come è stato già menzionato nel capitolo ' Conclusioni sullo status quo nella logica del linguaggio medico riguardo al sistema masticatorio' anche nel paziente trattato con chirurgia ortognatica abbiamo potuto rilevare una assenza del jaw jerk (figura 2) ripristinato subito dopo riabilitazione neurognatologica evocata. Nel nostro caso 'Balancer' abbiamo un disturbo oggettivo in più quello della difficoltà masticatoria ed insieme al disturbo posturale erano presenti nistagno e vertigini.

Un ulteriore asserzione a favore del danno organico è stato anche la presenza di un ritardo di latenza sul lato destro del periodo silente elettrico, Anormalità, positività del referto, che depone per un rallentamento della velocità di conduzione nervosa. In questo istanza non possiamo dire se il ritardo sia riferito ad un danno delle fibre sensitive o di quelle motorie fintanto che non si approccia allo studio della conduzione nervosa delle radici trigeminali motorie.


Potenziali Evocati Motori della radice trigeminale
Figura 4: Referto RMN di meningioma in base cranica destra
Figura 3: Risposte evocate da stimolazione elettrica transcraniale bilaterale. E' evidente una marcata asimmetria di ampiezza a carico del Massetere destro.

Nel nostro laboratorio di neurofisiologia masticatoria abbiamo messo a punto una tecnica di elettrostimolazione trasncraniale elettrica delle due radici trigeminali in simultanea e sincronizzate con lo stimolo elettrico. Nei vari capitoli già pubblicati sono riportati alcune informazioni tecniche sul metodo ma ci ripromettiamo di esporli in modo esaustivo nella sezione 'Scienza straordinaria'. In questo contesto possiamo solo considerare e confermare una asimmetria notevole di ampiezza delle risposte evocate motorie come mostrato in figura 3. I markers 1A e 2A indicano la latenza chea differenza del periodo silente è simmetrica e questo dato conferma il danno strutturale delle fibre sensitive comprese quelle propriocettive dai muscoli masticatori. Possiamo a questo punto non solo confermare e giustificare la scelta neurologica del contesto diagnostico ma anche concludere con una pre diagnosi di danno neurologico cerebellare con coinvolgimento dell'asse mesencefalico trigeminale.

La Risonanza Magnetica dell'encefalo, purtroppo, risolve i nostri dubbi con una refertazione di lesione espansiva solida con effetto massa nell'emisfero destro, non è chiaro se abbia un’origine sopra o sotto tentoriale, sicuramente determina fenomeni compressivi sul mesencefalo - tronco e sul quarto ventricolo con dilatazione delle cisterne e dei ventricoli a monte. Che si tratti di un meningioma è molto probabile perché non ha edema perilesionale.

Final considerations

Riassumiamo il percorso clinico diagnostico seguendo il modello Masticationpedia perched si possa considerare quest'ultimo un fluido e dinamico iter per giungere a target diagnostico nel modo più rapido e dettagliato.

  1. Analisi dei contesti attraverso test di laboratorio odontoiatrici e neurologici
  2. Scelta dell'asserzione neurologica attraverso filtro da parte del Demarcatore di Coerenza
  3. Valutazione del caso clinico nel Cognitive Neural Network (CNN)
  4. Chiusura del loop del CNN con l'articolo di Jon Infante [3] e la considerazione del danno organico/funzionale delle strutture sensitivo motorie trigeminali del nostro paziente attraverso constatazione della asimmetria di ampiezza della 'bRoot-MEPs'. Nella galleria di immagini è stata ordinata la sequenza logica dei test eseguiti con ripristino della numerazione.

Conclusioni

Abbiamo ormai evidenze di correlazione organico funzionali sia dirette che indirette tra il sistema trigeminale ed il sistema vestibolare, basti pensare allo studio dei mVEMP (Vestibular Evoked Myogenic Potentials) ormai riconosciuto come un test solido e affidabile per valutare l'integrità funzionale della via del riflesso vestibolo-masseterico,[4] nelle manifestazioni cliniche con coinvolgimenti del sistema trigeminale e vestibolare come nei schwannomi[5][6] od in presenza di neurinomi dell'acustico[7] tanto quanto la relativa correlazione tra occlusione dentale e sistema vestibolare ma ciò non consente, visto la gravità dell'errore diagnostico che ne deriverebbe, di considerare quest'ultima condizione clinica un dato scientifico validato clinicamente. InAppendice un esempio di ciò che potrebbe accadere.

Quest'ultima asserzione, forse rischiosa perchè di controversione, si scontra sull'evidenza di un fatto eclatante più volte evidenziato nel corso della stesura dei capitoli di Masticationpedia quello del linguaggio macchina e del linguaggio verbale. Un linguaggio verbale vago ed ambiguo può generare convinzioni scientifiche a seconda di come viene proposto ma in sostanza copre ed occulta un linguaggio macchina molto più determinante e formale. Per esempio il linguaggio verbale ha dedotto che i disturbi posturali del paziente 'Balancer' fossero causati da una incongrua riabilitazione protesica mentre il linguaggio macchina segnalava un deficit neurosensoriale organico ( assenza del jaw jerk, ritardi in latenza del periodo silente, ampia riduzione di ampiezza della bRoot-MEPs.

La mancanza dell'informazione della velocità e della posizione mandibolare a livello mesencefalico, infatti, determina una incapacità di coscienza stereognosica in cui il paziente non riconosce la posizione spaziale e temporale della mandibola. La diminuzione del reclutamento delle unità motorie dei muscoli masticatori e non solo del massetere testato con una ovvia diminuzione della forza masticatoria è il risultato di questo danno organico e funzionale. Tutto ciò indica una compromissione del territorio propriocettivo ma non sappiamo se sono stati coinvolti anche le strutture sensitive. Il periodo silente elettrico mostra, invece, un grave ritardo in latenza con un rallentamento della velocità di conduzione nervosa. A concludere il quadro diagnostico neurofisiopatologico è la constatazione che la radice motoria trigeminale di destra ha perso gran parte delle proprie fibre motorie.

Da notare, però, che in una condizione clinica così grave assistiamo ad una diminuzione dell'ampiezza della bRoot-MEPs ma non una asimmetria di latenza. Questo risultato indica che c'è stato un danno diretto sulle fibre motorie trigeminali dalla compressione del tumore ( assonotmesi) ma non una demielinizzazione (neuroprassia) che avrebbe mostrato un ritardo di latenza sul massetere destro. E' bene descrivere brevemente la definizione di danno neurologico tenendo conto che il corrispettivo del nervo periferico spinale per il sistema nervoso trigeminale corrisponde alla radice trigeminale motoria.


La neurotmesi è causata dalla transezione di un nervo ed è il peggior grado di lesione del nervo periferico. Nella neurotmesi, l'intero nervo, compresi l'endoneurio, il perinevrio e l'epinevrio, è completamente reciso. La neurotmesi porta alla rottura dell'assone, della guaina mielinica e dei tessuti connettivi. La prognosi per il recupero spontaneo è infausta senza intervento chirurgico.[8] La lesione di quinto grado di Sunderland corrisponde alla definizione di neurotmesi nella classificazione di Seddon e rappresenta il più alto grado di lesione nervosa, con un difetto completo del nervo.

La neuroaprassia è una lesione nervosa comunemente indotta da demielinizzazione focale e/o ischemia ed è il tipo più lieve di lesione del nervo periferico. Nella neuroaprassia, la conduzione degli impulsi nervosi è bloccata nell'area lesa, la connessione motoria e sensoriale è persa, ma tutte le strutture morfologiche del moncone nervoso, inclusi l'endoneurio, il perinevrio e l'epinevrio, rimangono intatte.

L'assonotmesi è un tipo relativamente più grave di lesione del nervo periferico e di solito è causata da schiacciamento, stiramento o percussione. Nell'assonotmesi, l'epinevrio è intatto, mentre il perinevrio e l'endoneurio possono essere interrotti. L'assone viene separato dal soma e l'assone e la guaina mielinica vengono interrotti. La degenerazione walleriana si verifica nel moncone dell'assone distale al sito della lesione entro 24-36 ore dopo la lesione del nervo periferico.

Dopo la neurotmesi, le cellule di Schwann rispondono in modo adattivo all'interruzione assonale, passando da uno stato altamente mielinizzato a uno stato de-differenziato. Le cellule di Schwann de-differenziate fagocitano assoni e detriti di mielina e formano un percorso di rigenerazione per la crescita degli assoni. Inoltre, le cellule di Schwann attivate secernono un gruppo di citochine, tra cui il fattore di necrosi tumorale-alfa, l'interleuchina-1 alfa e il fattore inibitorio della leucemia, per reclutare i macrofagi e facilitare la digestione dei detriti. Le cellule di Schwann secernono anche un gruppo di fattori neurotrofici, tra cui il fattore di crescita nervoso, il fattore neurotrofico derivato dal cervello e il fattore neurotrofico derivato dalla linea cellulare gliale, per incoraggiare la sopravvivenza dei neuroni e l'allungamento degli assoni.[9][10][11]

L'elettromiografia con ago (EMG) è lo studio elettrodiagnostico più sensibile per la perdita dell'assone motorio e, con lesioni di grande gravità, compaiono risposte motorie di bassa ampiezza. Il decremento dell'ampiezza della risposta motoria inizia intorno ai giorni 2-3 ed è completo entro il giorno 6. Ciò riflette il fatto che la degenerazione della giunzione neuromuscolare precede la degenerazione degli assoni e le risposte motorie dipendono dalla trasmissione della giunzione neuromuscolare.[12]

Appendice

Paziente trattata da collega odontoiatrico per una riabilitazione protesica seguendo metodiche posturali che attraverso pedane dinamomentriche indicavano la migliore occlusione Centrica. La paziente giunse alla nostra osservazione presentando uno stato clinico di fasciolazione dei muscoli masseteri oltre, ovviamente, un discomfort occlusale e masticatorio. La posizione centrica finalizzata dal collega era, perciò, correlata con la migliore risposta dinamometria posturale ma purtroppo così non é risultato.

Osservando le figure 4,5 e 6 possiamo comprendere come si costruiscono assiomi che non rispondono ad un criterio scientifico convalidato tanto meno ad una realtà biologica Pensare che un fenomeno a distanza come la stabilità posturale dettata da una pedana dinamometria possa convalidare la scelta di una posizione occlusale spaziale raggiunta manualmente dall'operatore si infrange sulla constatazione che osservando lo stato di sistema trigeminale misurandolo attraverso un demand ( bRoot-MEPs) il sistema risponde con una propria posizione spaziale non dettata ne dalla correlazione posturologica ne tanto meno dalle manovre manuali dell'operatore bensì da una proprio risultato vettoriale neuromotorio.

«In conclusione la correlazione tra sistema vestibolare e trigeminale benché presente da un punto di vista neurofisiopatologico dovrebbe non essere considerata procedura clinica nelle riabilitatazioni masticatorie.»
(….dovrebbe esclusivamente essere considerata come campo esplorativo sperimentale per dedurre conoscenze maggiori sulla connettivitá neuronale.)



Bibliography & references
  1. The history of examination of reflexes. Boes CJ.J Neurol. 2014 Dec;261(12):2264-74. doi: 10.1007/s00415-014-7326-7. Epub 2014 Apr 3.PMID: 24695995
  2. Chen Y, Gong X, Ibrahim SIA, Liang H, Zhang J.. Convergent innervations of mesencephalic trigeminal and vestibular nuclei neurons onto oculomotor and pre-oculomotor neurons-Tract tracing and triple labeling in rats. PLoS One. 2022 Nov 28;17(11):e0278205. doi: 10.1371/journal.pone.0278205. eCollection 2022.PMID: 36441755
  3. 3.0 3.1 3.2 Jon Infante, Antonio García, Karla M Serrano-Cárdenas, Rocío González-Aguado, José Gazulla, Enrique M de Lucas, José Berciano. Cerebellar ataxia, neuropathy, vestibular areflexia syndrome (CANVAS) with chronic cough and preserved muscle stretch reflexes: evidence for selective sparing of afferent Ia fibres.J Neurol . 2018 Jun;265(6):1454-1462. doi: 10.1007/s00415-018-8872-1.Epub 2018 Apr 25.
  4. Sangu Srinivasan Vignesh, Niraj Kumar Singh, Krishna Rajalakshmi. Tone Burst Masseter Vestibular Evoked Myogenic Potentials: Normative Values and Test-Retest Reliability. J Am Acad Audiol. 2021 May;32(5):308-314. doi: 10.1055/s-0041-1728718.Epub 2021 Jun 1.
  5. Ashutosh Kumar, Sanjay Behari, Jayesh Sardhara, Prabhaker Mishra, Vivek Singh, Vandan Raiyani, Kamlesh Singh Bhaisora, Arun Kumar Srivastava . Quantitative assessment of brainstem distortion in vestibular schwannoma and its implication in occurrence of hydrocephalus.Br J Neurosurg . 2022 Dec;36(6):686-692. doi: 10.1080/02688697.2022.2047155.Epub 2022 Mar 7.
  6. Daniel Moualed, Jonathan Wong, Owen Thomas, Calvin Heal, Rukhtam Saqib, Cameron Choi, Simon Lloyd, Scott Rutherford, Emma Stapleton, Charlotte Hammerbeck-Ward, Omar Pathmanaban, Roger Laitt, Miriam Smith, Andrew Wallace, Mark Kellett, Gareth Evans, Andrew King, Simon Freeman. Prevalence and natural history of schwannomas in neurofibromatosis type 2 (NF2): the influence of pathogenic variants. Eur J Hum Genet. 2022 Apr;30(4):458-464. doi: 10.1038/s41431-021-01029-y.Epub 2022 Jan 24.
  7. Claudia Cassandro, Roberto Albera, Luca Debiasi, Andrea Albera, Ettore Cassandro, Alfonso Scarpa, Massimo Ralli. What factors influence treatment decision making in acoustic neuroma? Our experience on 103 cases. Int Tinnitus J. 2020 Nov 18;24(1):21-25.doi: 10.5935/0946-5448.20200004.
  8. Kaya Y, Sarikcioglu L. Sir Herbert Seddon (1903-1977) and his classification scheme for peripheral nerve injury. Childs Nerv Syst. 2015 Feb;31(2):177-80.
  9. Jessen KR, Mirsky R, Lloyd AC. Schwann Cells: Development and Role in Nerve Repair. Cold Spring Harb Perspect Biol. 2015 May 08;7(7):a020487.
  10. Madduri S, Gander B. Schwann cell delivery of neurotrophic factors for peripheral nerve regeneration. J Peripher Nerv Syst. 2010 Jun;15(2):93-103.
  11. Yi S, Zhang Y, Gu X, Huang L, Zhang K, Qian T, Gu X. Application of stem cells in peripheral nerve regeneration. Burns Trauma. 2020;8:tkaa002
  12. Ferrante MA. The Assessment and Management of Peripheral Nerve Trauma. Curr Treat Options Neurol. 2018 Jun 01;20(7):25.